Aurait pu passer inaperçu

Ce forum permet de montrer des photos de champignons et de discuter sur leur détermination.

Attention: ces déterminations ne permettront pas une consommation des champignons !!!
12 messages Page 1 sur 1

Duche

Messages : 1008
Enregistré le : 14 juil. 2020, 12:15
Nom : Francois Duriez

Message par Duche »
Bonsoir,

Un petit filou dans un recoin sombre cueilli ce jour à 19h. Sur bois, tronc coupé, bien avancé en décomposition. 5 mm max. Quelques exemplaires. Allure un peu crépidotoïde. Chapeau avec des mêches brunes hérissées. Marge enroulée. Lames serrrées, un peu fourchues près du pied, dont le jaune orangé détonne pas mal. Pied que je qualifierai plus de pseudopied ou de pédicule dont la description nécessite une grosse loupe.

Je le trouve curieux et, je dois l'admettre, un peu mignon. Je vais en charcuter un, là, tout de suite et j'essaie de vous mettre des photos plus correctes. Niveau identification, je ne sais pas trop par où prendre le problème. Dsl pour les Botryobasidium et les Mollisia sur la photo mais Ils et elles étaient là chez eux.

A très vite.
Fichiers joints
IMG_20250614_194105.jpg
IMG_20250614_194134.jpg
IMG_20250614_194151.jpg
Modifié en dernier par Duche le 15 juin 2025, 12:28, modifié 1 fois.

Richmond63

Avatar du membre
Messages : 11232
Enregistré le : 29 nov. 2010, 18:43
Nom : Richard Valeri
Association : S.M.B.L.A./A.M.H.A/S.M.F.
Localisation : puy de dôme-montagne thiernoise

Message par Richmond63 »
Panus neostrigosus ?

Duche

Messages : 1008
Enregistré le : 14 juil. 2020, 12:15
Nom : Francois Duriez

Message par Duche »
Remesuré. 5 mm de projection pour l'exemplaire le plus gros. 1 petit cm de large. Plus modeste pour les autres.

Coupe : le bord est incurvé-enroulé. Les lames sont jaunes a la coupe. La chair est réduite mais existante et blanche.

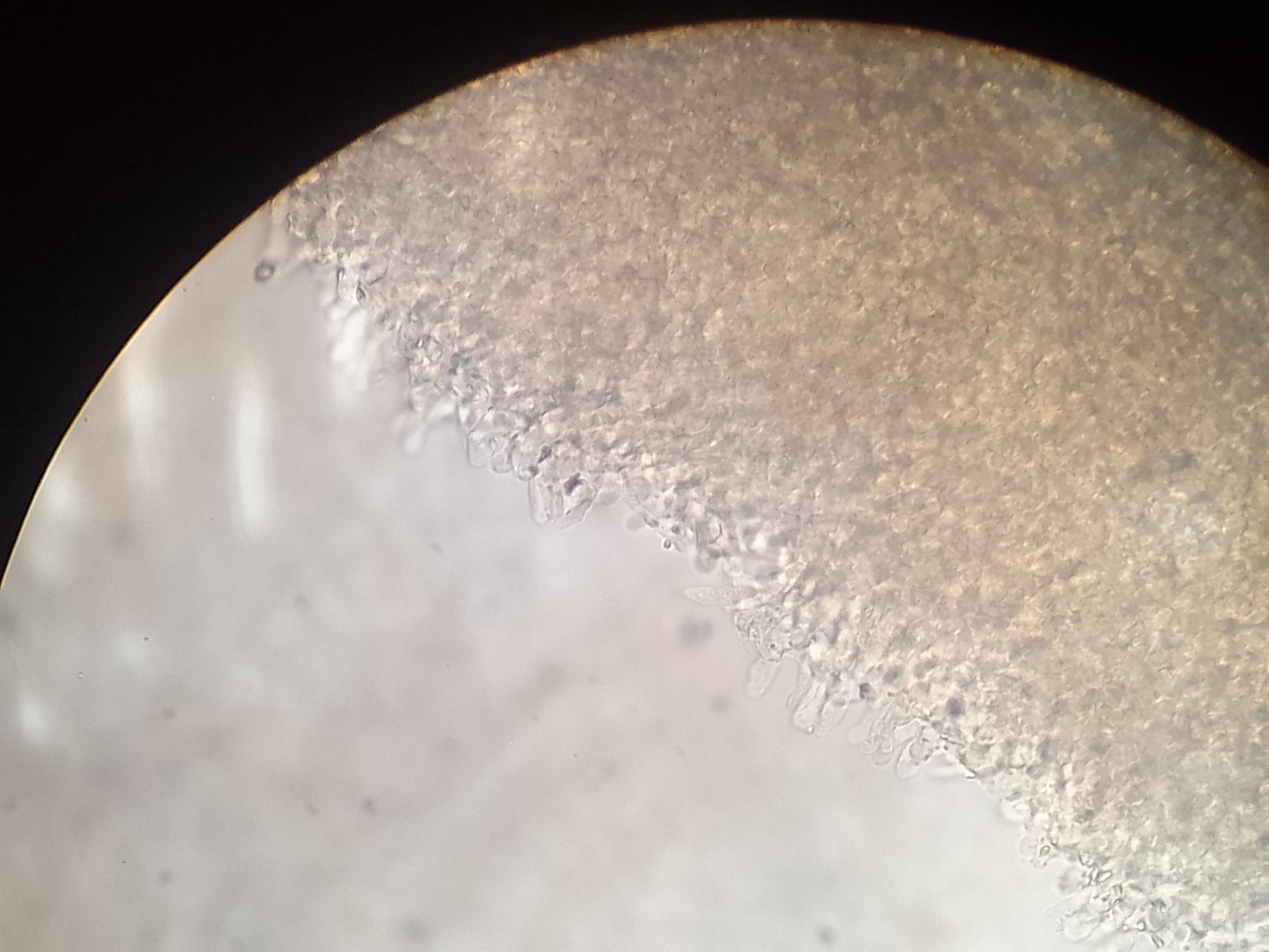
Spores globuleuses régulières 6-7 microns de diamètre environ(comparées avec spores d'A.bisporus, semblant ornées. (crêtes ?)

Cheilocystides très abondantes. La plupart sont assez lécythiformes, avec élargissement à l'apex, légèrement capitée, comme le haut des quilles de bowling, et très nettement granuleuses-verruqueuses. . D'autres moins abondantes sont lagéniformes.
Fichiers joints
IMG_20250614_225359.jpg
IMG_20250614_225432.jpg
IMG_20250614_225748.jpg
Spores ×100
Spores ×100

IMG_20250614_231551.jpg

Duche

Messages : 1008
Enregistré le : 14 juil. 2020, 12:15
Nom : Francois Duriez

Message par Duche »
Bonsoir Richard,

Je vais regarder ton idée. Je mets le complément de photo pour info.
Fichiers joints
IMG_20250614_232341.jpg
IMG_20250614_230838.jpg
IMG_20250614_232637.jpg

Andgelo

Avatar du membre
Messages : 5953
Enregistré le : 29 avr. 2013, 17:08
Nom : Andgelo Mombert
Associations : Société d'Histoire Naturelle du Doubs - Ascomycete.org
Localisation : Doubs
Site Internet

Message par Andgelo »
Bonsoir,
Il s'agit de petits Crepidotus crocophyllus.

Richmond63

Avatar du membre
Messages : 11232
Enregistré le : 29 nov. 2010, 18:43
Nom : Richard Valeri
Association : S.M.B.L.A./A.M.H.A/S.M.F.
Localisation : puy de dôme-montagne thiernoise

Message par Richmond63 »
Avec des spores globuleuses, je n'y étais pas. :redface:

chapon

Messages : 492
Enregistré le : 29 août 2023, 08:06
Nom : patrick Chapon
Associations : Groupe mycologique hte loire - groupe mycologique avignon, SMF
Localisation : vorey

Message par chapon »
Bonjour, je confirme la piste d'Andgelo
"C'est ce que nous pensons déjà connaître qui nous empêche souvent d'apprendre. " Claude Bernard

Nommo

Avatar du membre
Messages : 28677
Enregistré le : 18 août 2017, 18:36
Nom : François Desprès
Association : Alès
Localisation : Gard

Message par Nommo »
Bonjour à toutes et à tous,

+2.
Jamais vu, j’aimerais rencontrer cette charmante petite espèce.
J’échangerais bien tout ce que je sais contre un pour cent de ce que je ne sais pas. ( Pierre Neville )

Duche

Messages : 1008
Enregistré le : 14 juil. 2020, 12:15
Nom : Francois Duriez

Message par Duche »
Bonjour,

Et grand merci à tous pour l'identification de cette espèce, pour le moins singulière et mignonne. Ça colle parfaitement. Et c'est dans les guides, mais cet aspect hirsute et ces lames m'ont décontenancé et dérouté.

À très vite.

Jplm

Avatar du membre
Messages : 37525
Enregistré le : 03 oct. 2011, 10:37
Nom : Jean-Pierre Lachenal-Montagne
Associations : Société Mycologique de France - Associu U Muchjinu : Société Mycologique de Porto-Vecchio
Localisation : Paris, parfois Corse

Message par Jplm »
Bonjour,

J'avais aussi vu C. crocophyllus dès le départ, champignon pas très courant mais que j'ai déjà trouvé plusieurs fois. En revanche j'étais et je reste sidéré par la taille annoncée (5 mm) pour des spécimens qui n'ont nullement un aspect de primordiums mais au contraire de carpophores parfaitement formés, sur la photo 3 notamment. Il faut croire que c'est possible, la preuve.

Jplm
Jean-Pierre Lachenal-Montagne

chapon

Messages : 492
Enregistré le : 29 août 2023, 08:06
Nom : patrick Chapon
Associations : Groupe mycologique hte loire - groupe mycologique avignon, SMF
Localisation : vorey

Message par chapon »
Bonjour, belle espèce assez rare que j'ai trouvée vers chez moi il y a de nombreuses années en bords de Loire sur vieux tronc de peuplier couché.
Fichiers joints
crepidotus crocophyllus_DxO.jpg
"C'est ce que nous pensons déjà connaître qui nous empêche souvent d'apprendre. " Claude Bernard

LOUP

Avatar du membre
Messages : 560
Enregistré le : 23 janv. 2025, 12:47
Localisation : Dijon (Côte d'Or)

Message par LOUP »
Bonjour,
Et qu'est-ce tu fais des jolis petits ascomycètes bleus violets cupuliformes à urcéolés bleus violets de ta première photo (en haut à gauche) qui peuvent être très intéressants, peut être Tapezia fusca.
Cela vaudrait peut être le coup d'y repasser, prendre de belles photos, difficile vues la taille de ces ascos.
Cdt
12 messages Page 1 sur 1