Vu tous les ans mais jamais identifié

Ce forum permet de montrer des photos de champignons et de discuter sur leur détermination.

Attention: ces déterminations ne permettront pas une consommation des champignons !!!
14 messages Page 1 sur 1

Duche

Messages : 1008
Enregistré le : 14 juil. 2020, 12:15
Nom : Francois Duriez

Message par Duche »
Bonjour,

Celui-ci je le vois en quantité tous les ans à la citadelle mais je n'ai jamais du l'identifier. Je l'observe plus tard d'habitude.

Sur bois. Sur vieux troncs coupés et vieilles souches. Là, la partie jaune orange est poudreuse. Mais je sais que plus tard, il prendra une consistance plus dure, un toucher cireux et que le jaune orange sera légèrement moins vif. Il tient 6 mois.

J'ai prélevé cette fois au cas où.

Qu'en pensez-vous?

À bientôt.
Fichiers joints
IMG_20250612_130455.jpg
IMG_20250612_130525.jpg
IMG_20250612_130733.jpg
Modifié en dernier par Duche le 15 juin 2025, 12:42, modifié 1 fois.

Fouad

Avatar du membre
Messages : 19313
Enregistré le : 10 juin 2014, 18:06
Nom : Fouad Ouchène
Association : Société Mycologique de Strasbourg
Localisation : Alsace-Vosges

Message par Fouad »
Très joli, François. Si tu penses qu'il est encore immature, il faut repasser refaire un prélèvement. Je veux bien y jeter un oeil si tu veux bien ? ;)

Terradoc

Messages : 7625
Enregistré le : 01 nov. 2021, 13:39
Nom : THIERRY BLONDELLE
Association : Association de Mycologie et de Botanique de l'Hérault et des Hauts Cantons (AMBHHC)
Localisation : Courniou les grottes (34)_ Parc Naturel régional du Haut-Languedoc

Message par Terradoc »
Bonsoir

Ça ressemble à un Botryobasidium aureum avec ces coussinets orangés représentant le stade anamorphe. La micro donnerait confirmation.
Déjà présenté ici.
Modifié en dernier par Terradoc le 12 juin 2025, 20:20, modifié 1 fois.

Nommo

Avatar du membre
Messages : 28742
Enregistré le : 18 août 2017, 18:36
Nom : François Desprès
Association : Alès
Localisation : Gard

Message par Nommo »
12 juin 2025, 20:13Terradoc a écrit :
Bonsoir

Ça ressemble à un Botryobasidium aureum avec ces coussinets orangés. La micro donnerait confirmation.
Bonsoir Terradoc,

Convaincant.
J’échangerais bien tout ce que je sais contre un pour cent de ce que je ne sais pas. ( Pierre Neville )

Duche

Messages : 1008
Enregistré le : 14 juil. 2020, 12:15
Nom : Francois Duriez

Message par Duche »
12 juin 2025, 19:21Fouad a écrit :
Très joli, François. Si tu penses qu'il est encore immature, il faut repasser refaire un prélèvement. Je veux bien y jeter un oeil si tu veux bien ? ;)
Rebonsoir,

Je t'ai envoyé un bout aujourd'hui. Je proposerai des photos dès que j'ai le temps mais nous savons tous que les tiennes seront d'excellentes qualités et que tu observeras surement des éléments que je ne sais pas observer. Merci Fouad. Tu recevras cela lundi ou mardi probablement.

À bientôt.

Duche

Messages : 1008
Enregistré le : 14 juil. 2020, 12:15
Nom : Francois Duriez

Message par Duche »
Dites. En revoyant les photos, je viens de voir qu'il y a un petit asco discoïde qui traîne et que je l'ai même pas vu, et encore moins prélevé. Shame on me.

Fouad

Avatar du membre
Messages : 19313
Enregistré le : 10 juin 2014, 18:06
Nom : Fouad Ouchène
Association : Société Mycologique de Strasbourg
Localisation : Alsace-Vosges

Message par Fouad »
Merci. La piste de nos amis est probablement la bonne. Je regarderai avec plaisir cette curiosité (pour moi).
J'avais vu l'asco ;) Ou même peut-être deux.

Jean Pierre

Avatar du membre
Messages : 6970
Enregistré le : 21 sept. 2011, 10:40
Nom : Jean Pierre Raverat
Association : Association Mycologique Féréopontaine
Localisation : Seine Port (77)
Site Internet

Message par Jean Pierre »
Bonsoir,
12 juin 2025, 20:13Terradoc a écrit :
Ça ressemble à un Botryobasidium aureum
Il n'y a guère de doute.
Jean Pierre Raverat.
http://www.champignons77.org/

Nommo

Avatar du membre
Messages : 28742
Enregistré le : 18 août 2017, 18:36
Nom : François Desprès
Association : Alès
Localisation : Gard

Message par Nommo »
13 juin 2025, 21:46Duche a écrit :
Dites. En revoyant les photos, je viens de voir qu'il y a un petit asco discoïde qui traîne et que je l'ai même pas vu, et encore moins prélevé. Shame on me.
Bonjour à toutes et à tous,

Deux espèces d’asco même ressemblant à des Mollisia et des Orbilia.
J’échangerais bien tout ce que je sais contre un pour cent de ce que je ne sais pas. ( Pierre Neville )

Duche

Messages : 1008
Enregistré le : 14 juil. 2020, 12:15
Nom : Francois Duriez

Message par Duche »
Bonjour,

Je renomme, comme ça c'est fait et plus à faire. Je rajouterai quelques photos micros si j'arrive à en faire des bonnes cet aprem ou demain. Fouad pourra peut-être en ajouter si il a le temps.

Encore grand merci à tous pour cette espèce que je ne parvenais pas à identifier depuis tout ce temps. Je manque de docu pour les croutes. J'en proposerai surement d'autres bientôt.

A bientôt.

Fouad

Avatar du membre
Messages : 19313
Enregistré le : 10 juin 2014, 18:06
Nom : Fouad Ouchène
Association : Société Mycologique de Strasbourg
Localisation : Alsace-Vosges

Message par Fouad »
Bonjour,
Comme prévu, vous avez bien reconnu cette espèce ;) François, tu pouvais largement l'identifier au micro, mais c'est moi qui voulais voir.
sp-001.jpg
sp-002.jpg

Duche

Messages : 1008
Enregistré le : 14 juil. 2020, 12:15
Nom : Francois Duriez

Message par Duche »
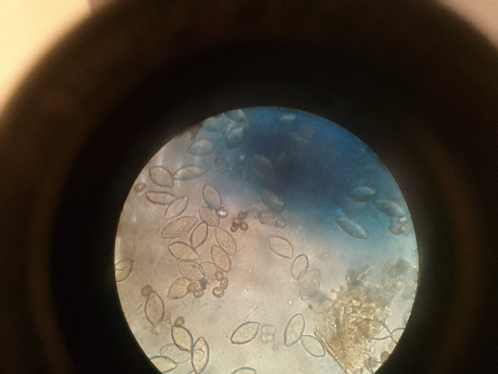
Effectivement, je revenais sur le forum avec des photos. Les tiennes sont mieux avec la légère teinte qui correspond bien à la forme, un peu en citron, je trouve. Merci Fouad.

À très vite.
Fichiers joints
Spores avec témoins.
Spores avec témoins.

Hyphes génératrices?
Hyphes génératrices?

IMG_20250616_225740.jpg

Fouad

Avatar du membre
Messages : 19313
Enregistré le : 10 juin 2014, 18:06
Nom : Fouad Ouchène
Association : Société Mycologique de Strasbourg
Localisation : Alsace-Vosges

Message par Fouad »
Regarde ton MP.
Sur tes photos : conidiophores et conidies.

Duche

Messages : 1008
Enregistré le : 14 juil. 2020, 12:15
Nom : Francois Duriez

Message par Duche »
Je regarde et encore Merci Fouad.
14 messages Page 1 sur 1