Croûte assez vive

Ce forum permet de montrer des photos de champignons et de discuter sur leur détermination.

Attention: ces déterminations ne permettront pas une consommation des champignons !!!
29 messages Page 1 sur 2

Duche

Messages : 1008
Enregistré le : 14 juil. 2020, 12:15
Nom : Francois Duriez

Message par Duche »
Bonjour à tous.

Cette croûte flashy.

Toucher cireux et brunissant légèrement. Odeur fongique ordinaire. Me fait penser à Scytinostroma hemidicophyticum en beaucoup moins pastel. Et ici des pores semblent apparaître bien que très fins et espacés.

Pas beaucoup de commentaires à donner. Je vous donne quelques éléments micro à la suite.

A très vite.
Fichiers joints
IMG_20250627_165425.jpg
IMG_20250627_165440.jpg
IMG_20250627_165450.jpg
IMG_20250627_165551.jpg
IMG_20250628_204447.jpg
Modifié en dernier par Duche le 07 août 2025, 10:48, modifié 2 fois.

Duche

Messages : 1008
Enregistré le : 14 juil. 2020, 12:15
Nom : Francois Duriez

Message par Duche »
Suite
IMG_20250628_205433.jpg
Hyphes dendroides ?
Hyphes dendroides ?
Soupe avec spores témoins
Soupe avec spores témoins

Nommo En ligne

Avatar du membre
Messages : 28887
Enregistré le : 18 août 2017, 18:36
Nom : François Desprès
Association : Alès
Localisation : Gard

Message par Nommo »
Bonsoir Duche,

Auriporia ?
J’échangerais bien tout ce que je sais contre un pour cent de ce que je ne sais pas. ( Pierre Neville )

Duche

Messages : 1008
Enregistré le : 14 juil. 2020, 12:15
Nom : Francois Duriez

Message par Duche »
Merci Nommo. Je ne sais pas. Je vois que j'ai oublié des éléments de description quand même important : sur amas de buches et sur face coupée et un peu débordant sur l'écorce à la citadelle de Lille. Adhérent au substrat mais se décollant si on insiste un peu. Une fois décollé il est très fragile et tombe un peu en lambeaux. Relativement épais.

Fouad

Avatar du membre
Messages : 19451
Enregistré le : 10 juin 2014, 18:06
Nom : Fouad Ouchène
Association : Société Mycologique de Strasbourg
Localisation : Alsace-Vosges

Message par Fouad »
Ceriporia ?

Terradoc

Messages : 7786
Enregistré le : 01 nov. 2021, 13:39
Nom : THIERRY BLONDELLE
Association : Association de Mycologie et de Botanique de l'Hérault et des Hauts Cantons (AMBHHC)
Localisation : Courniou les grottes (34)_ Parc Naturel régional du Haut-Languedoc

Message par Terradoc »
Bonjour,

De visu cf Auriporia. La micro n'apporte rien de plus

Fouad

Avatar du membre
Messages : 19451
Enregistré le : 10 juin 2014, 18:06
Nom : Fouad Ouchène
Association : Société Mycologique de Strasbourg
Localisation : Alsace-Vosges

Message par Fouad »
On a une réaction à la potasse ?

Duche

Messages : 1008
Enregistré le : 14 juil. 2020, 12:15
Nom : Francois Duriez

Message par Duche »
Non. Je vais voir si je peux y retourner demain.

Duche

Messages : 1008
Enregistré le : 14 juil. 2020, 12:15
Nom : Francois Duriez

Message par Duche »
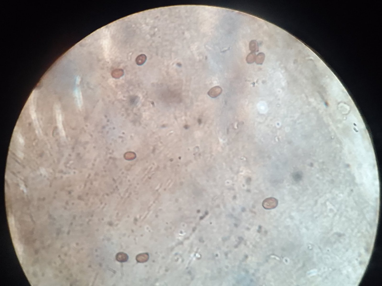
Rerécolté hier matin avec un bout de support pour éviter une décrépitude rapide. KOH testé: brun foncé rougeâtre.

Spores avec spores témoins d'Agaricus bisporus
IMG_20250703_074142.jpg
IMG_20250703_074254.jpg
IMG_20250703_074433.jpg
IMG_20250703_074529.jpg

Fouad

Avatar du membre
Messages : 19451
Enregistré le : 10 juin 2014, 18:06
Nom : Fouad Ouchène
Association : Société Mycologique de Strasbourg
Localisation : Alsace-Vosges

Message par Fouad »
Cela irait pour Skeletocutis amorpha avec ces spores et la réaction rougeâtre à KOH. Avec un cf. du fait de la pauvre micro et encore, l'aspect général ne me plait pas vraiment.

Duche

Messages : 1008
Enregistré le : 14 juil. 2020, 12:15
Nom : Francois Duriez

Message par Duche »
J'ai de quoi en retenter une. Je vais essayer.

Duche

Messages : 1008
Enregistré le : 14 juil. 2020, 12:15
Nom : Francois Duriez

Message par Duche »
J'ai retenté une lame mais je ne sais pas vraiment ce que je cherche. Mais il y a quelques éléments... J'ai recadré certaines photos.

Duche

Messages : 1008
Enregistré le : 14 juil. 2020, 12:15
Nom : Francois Duriez

Message par Duche »
Bonjour à tous,

J'ai refait une lame en écrasant bien. Hyphes bien visibles. J'explore un peu ces genres que je ne connais pas. Je vous fait un retour bientôt. (et sur le reste aussi, je vais rerécolter demain je l'espère quelques espèces laissées en suspend).

Hyphes ramifiés, cloisonnés, et parfois un interstice est visible, du moins j'ai l'impression, non bouclés. Autres éléments repérés mais j'ai du mal à voir ce que c'est.

Edit : j'ai enlevé une photo qui était vraiment inutile et donné une indication sur les boucles. Pas d'hyphes squelettiques.
IMG_20250707_113441.jpg
IMG_20250707_113856.jpg
IMG_20250707_183028.jpg

Castor74

Avatar du membre
Messages : 29537
Enregistré le : 23 sept. 2011, 17:11
Nom : Laurent Francini
Association : LA CHANTERELLE DE VILLE-LA-GRAND
Localisation : La Yaute - Haute-Savoie (la «vraie» Savoie) ;-)
Site Internet

Message par Castor74 »
Sujet en panne depuis le 8 juillet...
http://www.francini-mycologie.fr/index.htmlMyco-botaniste passionné!Nikon D90 - F-S DX 18-200 mm f:3,5/5,6 G ED VRII - AF-S Nikkor 105 mm macro f:2.8 G ED - Micro Nikkor 60 mm f:2.8

Duche

Messages : 1008
Enregistré le : 14 juil. 2020, 12:15
Nom : Francois Duriez

Message par Duche »
Bonjour à tous.

Je vous transfère l'avis d'un membre de la SMNF qui a examiné ce truc.

"

‌Bonjour François
Pas réussi à obtenir de spores malheureusement. Je 'adresse ma fiche micro. Je pense vraiment à Auriporia aurulenta, je ne comprends pas cependant que tu n'aies pas obtenu de réponse. Mais je suis novice en matière de polypores que j'ai des difficultés à étudier (car ils sporulent difficilement et qu'ensuite le mitisme et les boucles ne sont pas toujours évidents) mais dans le cas présent boucles et monomitis me évidents. J'ai parcouru les polypores de Wallonie et je ne vois pas d'autres possibilités qu'Auriporia. J'ai cependant préparé un petit morceau à des fins d'analyse moléculaire, malheureusement il faudra attendre qu'on ait assez d'échantillons pour faire les analyses, idem pour moi qui ait plein de corticiées à passer depuis le mois de décembre
De toute manière une espèce rare qu'il faudra saisir dans la base quand on sera fixés
Bon week end
Didier
"

Je vous transfère les fiches micros. Jevais reregarder ce qui colle.

A tres vite.
29 messages Page 1 sur 2